Mary Moran Day, DDS, PA - Cosmetic & Family Dentistry in Morehead City, NC

Cosmetic & Family Dentistry
  • Home
  • Meet the Team
    • The Captain
    • The Crew
  • Equipment & Technology
    • Cerec
    • EZlase Soft Tissue Laser
    • TMJD/Myotronic Tens Unit
  • Our Services
    • Tooth Colored Composite Fillings
    • Bonding
    • Bridges
    • Crown Lengthening
    • Crowns
    • Dental Implants
    • Dentures
    • Extractions
    • Root Canal (Endodontics)
    • Orthotic/TMJD
    • Veneers
    • Whitening
  • Patient Education
    • Dental Hygiene / Periodontal Health
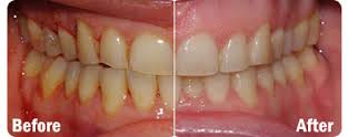
    • EvoraPro Oral Probiotic
  • Office News
    • Office News
Excellence is Our Standard of Care » evoraprobeforeandafter

evoraprobeforeandafter

 
evoraprobeforeandafter

Previous Image Next Image

Patient Information

  • Patient Forms
  • Patient Testimonials
  • Frequently Asked Questions
  • Post-Op Instructions

Office Information

217 Professional Circle
Morehead City, NC

(252) 222-3333
dr.day@daydentaldesigns.com

Office News

  • Dr. Day and team attend the 2014 Thomas P. Hinman Dental Meeting
  • Rhonda and George visit Chelsea in Costa Rica
  • Ashley gets married!
  • Kay’s son Derrick gets hitched in Jamaica!
  • Jamie completes Outer Banks Marathon


© 2012 Mary Moran Day, DDS, PA 217 Professional Circle | Morehead City, NC | 252.222.3333 Suffusion theme by Sayontan Sinha