Cosmetic & Family Dentistry
Home
Meet the Team
The Captain
The Crew
Equipment & Technology
Cerec
EZlase Soft Tissue Laser
TMJD/Myotronic Tens Unit
Our Services
Tooth Colored Composite Fillings
Bonding
Bridges
Crown Lengthening
Crowns
Dental Implants
Dentures
Extractions
Root Canal (Endodontics)
Orthotic/TMJD
Veneers
Whitening
Patient Education
Dental Hygiene / Periodontal Health
EvoraPro Oral Probiotic
Office News
Office News
Our Services
»
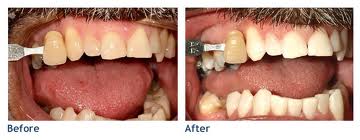
Whitening
» korbeforeandafter2
korbeforeandafter2
Next Image